Um carroceiro, identificado como Pedro Henrique Rocha de Azevedo, de 42 anos, foi detido na manhã desta quinta-feira, 16 de outubro, após agredir e torturar sua companheira em Taguatinga. O caso ocorreu na QNM 40 e durou cerca de seis horas.
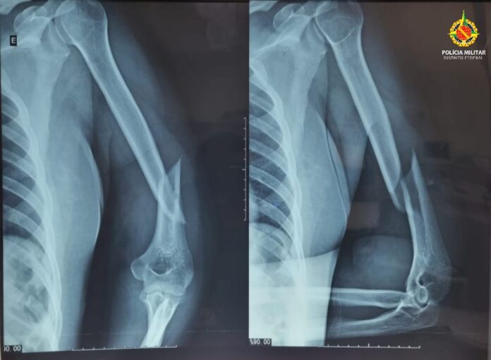
A Polícia Militar do DF (PMDF) recebeu um chamado de violência doméstica e, ao chegar ao local, encontrou a vítima, de 41 anos, com hematomas no rosto, inchaço ao redor dos olhos, sangramentos nos ouvidos, fraturas e luxações. Uma equipe médica do Samu avaliou que ela apresentava sinais de traumatismo cranioencefálico.
De acordo com a mulher, os abusos começaram à meia-noite e se estenderam até a manhã. Ela contou que uma vizinha ouviu seus gritos de socorro e acionou a PMDF. A vítima foi levada ao Hospital Regional de Taguatinga, onde permanece internada e aguardando cirurgia.
Relatos do boletim de ocorrência revelam que a mulher estava tão machucada que mal conseguia abrir os olhos e falava com dificuldade, descrevendo os ataques constantes que sofreu por parte de Pedro Henrique.
O agressor foi encontrado e preso em via pública, na EQNM 36/38. Durante a prisão, ele demonstrou atitude agressiva e negou as acusações. A PMDF informou que ele possui uma extensa ficha criminal, incluindo antecedentes por violência doméstica contra a mesma vítima, além de homicídio e roubo.
Pedro foi levado à 21ª Delegacia de Polícia (Taguatinga Sul), sendo autuado em flagrante por tentativa de feminicídio, agravada pela tortura.
Esse caso traz à tona a grave questão da violência doméstica, que afeta muitas famílias. É importante que todos estejamos atentos e dispostos a ajudar aqueles que podem estar passando por situações semelhantes. Compartilhe suas opiniões ou relatos sobre e vamos juntos buscar soluções.

