
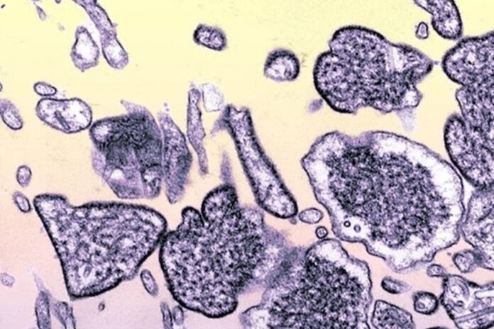
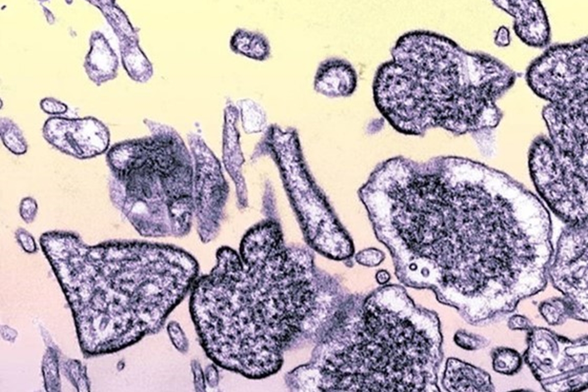
O governo da Índia confirmou cinco casos de pacientes infectados com o vírus Nipah. O patógeno, considerado letal e listado pela OMS como prioritário para pesquisa, circula entre morcegos e pode evoluir para quadros graves em humanos. Cerca de 100 pessoas estão em quarentena para evitar a propagação, e todos os pacientes recebem tratamento em Calcutá, com um deles em estado crítico.
A transmissão ocorre principalmente pelo consumo de alimentos contaminados, mas pessoas infectadas também podem transmitir o vírus a outras pessoas. Entre os sintomas iniciais estão dor de cabeça, febre, dor muscular, dor de garganta e vômitos. Em estágios posteriores, pode haver tontura, sonolência, confusão e sinais neurológicos, além de pneumonia atípica e insuficiência respiratória grave.
Caso evolua para encefalite com convulsões, o paciente pode entrar em coma em 24 a 48 horas. O período entre infecção e início dos sintomas varia de 4 a 14 dias, e o vírus pode permanecer no corpo por até 45 dias. A letalidade pode chegar a 75%, dependendo da qualidade da assistência médica e da vigilância epidemiológica local.
Não existe tratamento ou vacina contra Nipah. A OMS considera a pesquisa sobre esse vírus prioritária, pois ele tem potencial para causar futuras pandemias. Atualmente, o Nipah circula principalmente na Índia e em Bangladesh, e as chances de chegar ao Brasil são consideradas baixas.
Fique atento às atualizações sobre Nipah e às medidas de vigilância adotadas pelas autoridades. Compartilhe nos comentários suas perguntas, opiniões ou experiências para enriquecer o debate sobre saúde pública e prevenção de emergências sanitárias.

